dicas a ler TC

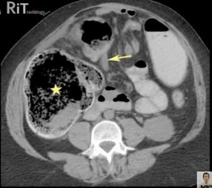
Às vezes só o tamanho das ansas não chega e é difícil distinguir colon de delgado na TC. Ai, devemos olhar para o conteúdo das ansas: No delgado o conteúdo é muito homogéneo, como se vê nesta imagem no lado esquerdo do doente, por outro lado,no colon o conteúdo é bastante heterogéneo, como se vê tanto na grande dilatação, assinalada pelo asterisco, como na ansa, não tão dilatada, mais à frente. Isto deve-se a duas coisas: 1º, e mais óbvio, há ar no colon, devido à acção das bactérias, que se vê a preto. 2º, no colon vai havendo a reabsorção de água, logo vai ser uma zona em que vão estar misturadas fezes sólidas, com fezes líquidas, com fezes assim assim, e isso vai dar diferentes radiodensidades :)